labscoop
  • Product
    MarketplaceEverything your lab needs in one place.
    Shared CartStreamlined requisitioning.
    CuratorCurated supplies from product experts.
    Science SamplesDiscover better, cost effective supplies.
  • Enterprise
    SolutionsSupercharge your organization’s eProcurement.
    IntergationsIntegrate your existing ERP & eProcurement.
    OnboardingDrive end user option with ease.
  • Pricing
  • Company
    AboutThe company, our mission and our values.
    Supplier PartnersOur niche and industry leading suppliers.
    CareersJoin us. Be yourself. Drive our mission.
    BlogCompany blog.
    NewsroomGet the latest news and updates.
    Press KitAccess brand assets.
  • Support
Sign in
Create an Account
  • Product
    MarketplaceShared CartScienceSamplesCurator
  • Enterprise
    SolutionsIntegrationsOnboarding
  • Company
    AboutBlogSupplier PartnersCareersNewsroomPress Kit
  • Support
    Help CenterFAQsSchedule a DemoReport a BugMake a Suggestion
logosupport@labscoop.com800 316 3081
Terms of UseTerms & Conditions of SalePrivacy Policy
© Labscoop LLC. All rights reserved

EN
usaUSA
© Labscoop LLCTerms of UseTerms & Conditions of SalePrivacy Policy
EN
usaUSA
Erythropoietin Antibody / EPO
SKU / CAT#: V7938-100UG
$49900
usd
$4.99/UG
  1. Home
  2. Life Science
  3. Antibodies
  4. Erythropoietin Antibody / EPO
V7938-100UG

Erythropoietin Antibody / EPO

NSJ Bioreagents
Write a review
0
0citationscitations
0
0questionsquestions
0
SKU / CAT#: V7938-100UG
MPN: V7938-100UG
$49900
usd
$4.99/UG
Available
SHIPS Oct 29th
Available
SHIPS Oct 29th
SKU
Unit size / Options
Availability
Price
No products found
Description
Hormone involved in the regulation of erythrocyte proliferation and differentiation and the maintenance of a physiological level of circulating erythrocyte mass. Binds to EPOR leading to EPOR dimerization and JAK2 activation thereby activating specific downstream effectors, including STAT1 and STAT3. [UniProt]
Hormone involved in the regulation of erythrocyte proliferation and differentiation and the maintenance of a physiological level of circulating erythrocyte mass. Binds to EPOR leading to EPOR dimerization and JAK2 activation thereby activating specific downstream effectors, including STAT1 and STAT3. [UniProt]
Shipping & Handling
Shipped In
Cold Packs
Safety & Storage
Storage Temperature
Store the recombinant Erythropoietin antibody at 2-8°C (with azide) or aliquot and store at -20°C or colder (without azide).
Safety Statement
This recombinant Erythropoietin antibody is available for research use only.
Regulatory & Compliance
Badge
Technical Documents
Datasheet (1)
taUaurecombinant-erythropoietin-antibody-ertp-1-v7938
Specifications
CLASS
Primary Antibodies
SUBCLASS
Recombinant Monoclonal
UNIPROT ID
P01588
CLONE NUMBER
ERTP-1
*USAGE / SAFETY STATEMENT
This recombinant Erythropoietin antibody is available for research use only.
FORMAT
Purified
APPLICATION.1
IHC-P
HOST SPECIES
Rabbit
ISOTYPE
Rabbit IgG, kappa
REACTIVITY SPECIES
Human
CLONALITY
Recombinant Rabbit Monoclonal
PURIFICATION
Protein A affinity chromatography
IMMUNOGEN
Amino acids 28-162 were used as the immunogen for the recombinant Erythropoietin antibody.
STORAGE BUFFER
0.2 mg/ml with 0.1 mg/ml BSA (US sourced), 0.05% sodium azide
APPLICATION DETAILS
Immunohistochemistry (FFPE): 2-4ug/ml
APPLICATION NOTES
Optimal dilution of the antibody should be determined by the researcher.
LOCALIZATION
Cell surface, cytoplasmic
Questions & Answers (0)
Citations (0)
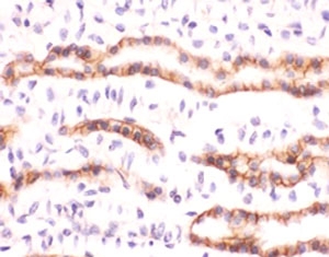
IHC staining of FFPE human kidney with recombinant Erythropoietin antibody (clone ERTP-1). HIER: boil tissue sections in pH 9 10mM Tris with 1mM EDTA for 10-20 min followed by cooling at RT for 20 min.
IHC staining of FFPE human kidney with recombinant Erythropoietin antibody (clone ERTP-1). HIER: boil tissue sections in pH 9 10mM Tris with 1mM EDTA for 10-20 min followed by cooling at RT for 20 min.
Shipping & Handling
Shipped In
Cold Packs
Safety & Storage
Storage Temperature
Store the recombinant Erythropoietin antibody at 2-8°C (with azide) or aliquot and store at -20°C or colder (without azide).
Safety Statement
This recombinant Erythropoietin antibody is available for research use only.
Regulatory & Compliance
Badge
Science SamplesWe’re currently in BETA - Interested in joining? Let us know and we’ll get you set up with early access.
Join BETA

Join Our List

mail
Subscribe to the Scoop blog and get the latest updates on life in the lab.
This site is protected by reCAPTCHA and the Google Privacy Policy and Terms of Service apply.
Related Blog Articles
Related Categories
Related Blog Articles