labscoop
  • Product
    MarketplaceEverything your lab needs in one place.
    Shared CartStreamlined requisitioning.
    CuratorCurated supplies from product experts.
    Science SamplesDiscover better, cost effective supplies.
  • Enterprise
    SolutionsSupercharge your organization’s eProcurement.
    IntergationsIntegrate your existing ERP & eProcurement.
    OnboardingDrive end user option with ease.
  • Pricing
  • Company
    AboutThe company, our mission and our values.
    Supplier PartnersOur niche and industry leading suppliers.
    CareersJoin us. Be yourself. Drive our mission.
    BlogCompany blog.
    NewsroomGet the latest news and updates.
    Press KitAccess brand assets.
  • Support
Sign in
Create an Account
  • Product
    MarketplaceShared CartScienceSamplesCurator
  • Enterprise
    SolutionsIntegrationsOnboarding
  • Company
    AboutBlogSupplier PartnersCareersNewsroomPress Kit
  • Support
    Help CenterFAQsSchedule a DemoReport a BugMake a Suggestion
logosupport@labscoop.com800 316 3081
Terms of UseTerms & Conditions of SalePrivacy Policy
© Labscoop LLC. All rights reserved

EN
usaUSA
© Labscoop LLCTerms of UseTerms & Conditions of SalePrivacy Policy
EN
usaUSA
GCNT2 Antibody
SKU / CAT#: F40004-0.08ML
$16500
usd
$165.00
  1. Home
  2. Life Science
  3. Antibodies
  4. GCNT2 Antibody
F40004-0.08ML

GCNT2 Antibody

NSJ Bioreagents
Write a review
0
0citationscitations
0
0questionsquestions
0
SKU / CAT#: F40004-0.08ML
MPN: F40004-0.08ML
$16500
usd
$165.00
Available
SHIPS Apr 10th
Available
SHIPS Apr 10th
SKU
Unit size / Options
Availability
Price
No products found
Description
This gene encodes the enzyme responsible for formation of the blood group I antigen. The i and I antigens are distinguished by linear and branched poly-N-acetyllactosaminoglycans, respectively. The encoded protein is the I-branching enzyme, a beta-1,6-N-acetylglucosaminyltransferase responsible for the conversion of fetal i antigen to adult I antigen in erythrocytes during embryonic development. Mutations in this gene have been associated with adult i blood group phenotype. Alternatively spliced transcript variants encoding different isoforms have been described.
This gene encodes the enzyme responsible for formation of the blood group I antigen. The i and I antigens are distinguished by linear and branched poly-N-acetyllactosaminoglycans, respectively. The encoded protein is the I-branching enzyme, a beta-1,6-N-acetylglucosaminyltransferase responsible for the conversion of fetal i antigen to adult I antigen in erythrocytes during embryonic development. Mutations in this gene have been associated with adult i blood group phenotype. Alternatively spliced transcript variants encoding different isoforms have been described.
Shipping & Handling
Shipped In
Cold Packs
Safety & Storage
Storage Temperature
Aliquot the GCNT2 antibody and store frozen at -20°C or colder. Avoid repeated freeze-thaw cycles.
Safety Statement
This GCNT2 antibody is available for research use only.
Regulatory & Compliance
Badge
Technical Documents
Datasheet (1)
Ugauggcnt2-antibody-f40004
Specifications
CLASS
Primary Antibodies
*USAGE / SAFETY STATEMENT
This GCNT2 antibody is available for research use only.
FORMAT
Antigen affinity purified
SUBCLASS
Polyclonal
UNIPROT ID
Q06430
APPLICATION.1
WB, IHC, ELISA
HOST SPECIES
Rabbit
ISOTYPE
Rabbit Ig
REACTIVITY SPECIES
Human, Mouse
CLONALITY
Polyclonal (rabbit origin)
PURIFICATION
Antigen affinity
IMMUNOGEN
A portion of amino acids 364-391 from the human protein was used as the immunogen for this GCNT2 antibody.
STORAGE BUFFER
In 1X PBS, pH 7.4, with 0.09% sodium azide
APPLICATION DETAILS
Western blot: 1:1000,IHC (Paraffin): 1:10-1:50
APPLICATION NOTES
Titration of the GCNT2 antibody may be required due to differences in protocols and secondary/substrate sensitivity.
Questions & Answers (0)
Citations (0)
GCNT2 antibody western blot analysis in mouse kidney tissue lysate
GCNT2 antibody western blot analysis in mouse kidney tissue lysate
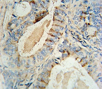
GCNT2 antibody immunohistochemistry analysis in formalin fixed and paraffin embedded human prostate carcinoma.
Shipping & Handling
Shipped In
Cold Packs
Safety & Storage
Storage Temperature
Aliquot the GCNT2 antibody and store frozen at -20°C or colder. Avoid repeated freeze-thaw cycles.
Safety Statement
This GCNT2 antibody is available for research use only.
Regulatory & Compliance
Badge
Science SamplesWe’re currently in BETA - Interested in joining? Let us know and we’ll get you set up with early access.
Join BETA

Join Our List

mail
Subscribe to the Scoop blog and get the latest updates on life in the lab.
This site is protected by reCAPTCHA and the Google Privacy Policy and Terms of Service apply.
Related Blog Articles
Related Categories
Related Blog Articles