labscoop
  • Product
    MarketplaceEverything your lab needs in one place.
    Shared CartStreamlined requisitioning.
    CuratorCurated supplies from product experts.
    Science SamplesDiscover better, cost effective supplies.
  • Enterprise
    SolutionsSupercharge your organization’s eProcurement.
    IntergationsIntegrate your existing ERP & eProcurement.
    OnboardingDrive end user option with ease.
  • Pricing
  • Company
    AboutThe company, our mission and our values.
    Supplier PartnersOur niche and industry leading suppliers.
    CareersJoin us. Be yourself. Drive our mission.
    BlogCompany blog.
    NewsroomGet the latest news and updates.
    Press KitAccess brand assets.
  • Support
Sign in
Create an Account
  • Product
    MarketplaceShared CartScienceSamplesCurator
  • Enterprise
    SolutionsIntegrationsOnboarding
  • Company
    AboutBlogSupplier PartnersCareersNewsroomPress Kit
  • Support
    Help CenterFAQsSchedule a DemoReport a BugMake a Suggestion
logosupport@labscoop.com800 316 3081
Terms of UseTerms & Conditions of SalePrivacy Policy
© Labscoop LLC. All rights reserved

EN
usaUSA
© Labscoop LLCTerms of UseTerms & Conditions of SalePrivacy Policy
EN
usaUSA
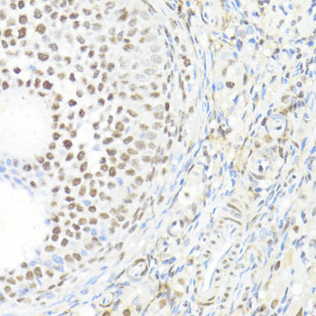
Anti-BACH1 Antibody
ABclonal
SKU / CAT#: A14728-100
$29000
usd
$2.90/µL
  1. Home
  2. Life Science
  3. Antibodies
  4. Anti-BACH1 Antibody
A14728-100

Anti-BACH1 Antibody

Antibodies.com LLC
Write a review
0
0citationscitations
0
0questionsquestions
0
SKU / CAT#: A14728-100
MPN: A5393
$29000
usd
$2.90/µL
Badge
Badge
Available
SHIPS Apr 20th
Available
SHIPS Apr 20th
SKU
Unit size / Options
Availability
Price
No products found
Description
Anti-BACH1 Antibody. Rabbit polyclonal antibody to BACH1.
Anti-BACH1 Antibody. Rabbit polyclonal antibody to BACH1.
Shipping & Handling
Shipped In
Cold Packs
Safety & Storage
Storage Temperature
Shipped at 4°C. Upon delivery aliquot and store at -20°C. Avoid freeze / thaw cycles.
Safety Statement
This product is for research use only. It is not intended for diagnostic or therapeutic use.
Regulatory & Compliance
Badge
Technical Documents
Datasheet (1)
Anti-BACH1 Antibody
Specifications
CLASS
Primary
SHIPPING NOTES
Storing antibodies at various temperatures (up to 40°C) for one week does not affect their activity. As a precautionary measure, we ship all products in insulated packaging with cold packs to provide extra temperature stability in transit. The cold packs may be thawed when you receive the shipment, please be assured that this is normal and your product(s) are safe to use. Once you have received your product(s), please follow the storage instructions on the datasheet(s).
COUNTRY OF ORIGIN
South Korea
*USAGE / SAFETY STATEMENT
This product is for research use only. It is not intended for diagnostic or therapeutic use.
APPLICATION
WB, IHC, IF
MWCO (kDa)
115kDa
SUBCLASS
Polyclonal
HOST SPECIES
Rabbit
ISOTYPE
IgG
REACTIVITY SPECIES
Human, Mouse, Rat
CLONALITY
Polyclonal
PURIFICATION
Affinity purification.
IMMUNOGEN
Recombinant fusion protein containing a sequence corresponding to amino acids 1-320 of human BACH1 (NP_996749.1).
STORAGE BUFFER
Supplied in Phosphate Buffered Saline, pH 7.30, with 0.02% Sodium Azide and 50% Glycerol.
CONJUGATION/TAG
Unconjugated
SEQUENCE
MSLSENSVFAYESSVHSTNVLLSLNDQRKKDVLCDVTIFVEGQRFRAHRSVLAACSSYFHSRIVGQADGELNITLPEEVTVKGFEPLIQFAYTAKLILSKENVDEVCKCVEFLSVHNIEESCFQFLKFKFLDSTADQQECPRKKCFSSHCQKTDLKLSLLDQRDLETDEVEEFLENKNVQTPQCKLRRYQGNAKASPPLQDSASQTYESMCLEKDAALALPSLCPKYRKFQKAFGTDRVRTGESSVKDIHASVQPNERSENECLGGVPECRDLQVMLKCDESKLAMEPEETKKDPASQCPTEKSEVTPFPHNSSIDPHGL
DILUTION
WB: 1:500-1:2000, IHC: 1:50-1:200, IF: 1:50-1:200
TARGET ORGANS
BACH1
Questions & Answers (0)
Citations (0)
Anti-BACH1 Antibody
Anti-BACH1 Antibody
Anti-BACH1 Antibody
Shipping & Handling
Shipped In
Cold Packs
Safety & Storage
Storage Temperature
Shipped at 4°C. Upon delivery aliquot and store at -20°C. Avoid freeze / thaw cycles.
Safety Statement
This product is for research use only. It is not intended for diagnostic or therapeutic use.
Regulatory & Compliance
Badge
Science SamplesWe’re currently in BETA - Interested in joining? Let us know and we’ll get you set up with early access.
Join BETA

Join Our List

mail
Subscribe to the Scoop blog and get the latest updates on life in the lab.
This site is protected by reCAPTCHA and the Google Privacy Policy and Terms of Service apply.
Related Blog Articles
Related Categories
Related Blog Articles